围巾针织视频
寒冷的冬天又来了,是不是觉得脖子冷飕飕的,想要一条温暖舒适的围巾呢?别急,今天我要给你安利一些超棒的围巾针织视频,让你在家就能轻松学会编织技巧,打造属于自己的时...
寒冷的冬天又来了,是不是觉得脖子冷飕飕的,想要一条温暖舒适的围巾呢?别急,今天我要给你安利一些超棒的围巾针织视频,让你在家就能轻松学会编织技巧,打造属于自己的时...
你有没有发现,随着科技的发展,宝宝的成长视频越来越火了!家长们纷纷拿起手机,记录下宝宝每一个可爱的瞬间,这些视频不仅记录了宝宝的成长轨迹,更是成为了我们回忆的宝...
亲爱的读者们,你是否曾经因为运动损伤而痛苦不堪?又或者,你是否对那些在运动场上拼搏的运动员们心生敬意,却对他们的伤痛恢复过程充满好奇?今天,就让我们一起走进韧带...
你有没有想过,在互联网的世界里,有些视频能瞬间点燃你的好奇心,让你忍不住想要一探究竟?今天,我就要带你揭开一个神秘话题——短裙底视频。别害羞,这可不是什么不雅的...
你有没有听说过那个最近在网络上火得一塌糊涂的“污妹妹视频”?没错,就是那个让无数网友熬夜刷屏的神秘视频。今天,我就要带你一探究竟,揭开这个视频背后的神秘面纱。一...
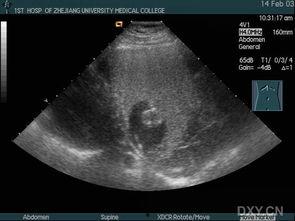
你有没有想过,我们的胃里其实是个热闹非凡的小世界呢?今天,就让我带你一起走进这个奇妙的世界,用超声胃视频这个高科技手段,一探究竟!一、揭开胃的神秘面纱想象如果你...
最近是不是你也遇到了这样的烦恼?群里发的视频怎么就是不能播放呢?别急,让我来给你细细道来,让你一次性搞懂这个让人头疼的问题。一、视频不播放的常见原因1. 网络问...
亲爱的读者们,你是否曾在某个闲暇时刻,被一段充满地方特色的方言视频吸引?今天,我要和你分享的就是这样一段视频——阳曲话视频。阳曲话,作为山西省太原市阳曲县的一种...
你有没有发现,随着手机内存越来越大,相册里的视频越来越多,是不是有时候想保护一下自己的隐私呢?今天,就让我来给你详细介绍怎么给苹果手机里的相册视频加密,让你的隐...
最近家里新买了一台小天鹅滚筒洗衣机,是不是你也心动了呢?别急,安装可是个大工程,尤其是对于我这个不太懂家电的“小白”来说。这不,我特意找了一个超级详细的安装视频...
最新留言